ڪيترائي ڀيرا ائين ٿيندو آهي ته ماڻهو مِڇَ کي روڪڻ جي ڪوشش ڪندا آهن.
مثال جي طور تي ڪنهن اهم ملاقات دوران،ڊرائيونگ ڪندي يا ڪا شيءِ چٻاڙيندي.
هڪ نِڇَ جي رفتار 100 کان 500 ميل في ڪلاڪ ٿي سگھي ٿي ۽ اهو هڪ اهڙو پاڻمرادو جسماني ردعمل آهي جيڪو ساهه جي نالي کُليل رکڻ لاءِ هوندو آهي.
اهو ئي سبب آهي جو نِڇَ روڪڻ جي ڪوشش ڪرڻ ڪو سٺو خيال ناهي يا گھٽ ۾ گھٽ هڪ تازو رپورٽ ٿيل هڪ عجيب ڪيس مان ته اهو ئي اشارو ملي ٿو.
ان ڪيس ۾ هڪ شخص نِڇَ روڪڻ جي ڪوشش ته سندس ساهه جي ناليءَ ۾ سوراخ ٿي ويو.
نڪ جي جهلي جي سوڄ جو شڪار شخص کي گاڏي هلائيندي نِڇَ جو احساس ٿيو، هن نِڇَ ڏيڻ بدران نڪ ۽ وات کي هٿ رکي نِڇَ کي روڪيو.
پر نڇ روڪڻ جي فوري بعد ان شخص کي ڳلي ۾ سخت تڪليف جو احساس ٿيو ۽ سوڄ به وڌي وئي پر هن کي ڳالهائڻ، ڳيهڻ يا ساهه کڻڻ ۾ ڏکيائي نه ٿي رهي هئي.
پر هن کي ڳلو لوڏڻ ۾ ڏکيائي ٿي رهي هئي ۽ ان ڪري هو ڊاڪٽر وٽ ويو.

طبي معائن دوران جڏهن متاثر حصي کي دٻايو ويو ته ڊاڪٽر هڪ عجيب آواز ٻڌو.
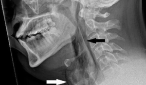
جنهن فوري بعد مريض جو ايڪسري ڪيو ويو جنهن سان انڪشاف ٿيو ته ساهه جي ناليءَ ۾ سوراخ ٿي ويو آهي.
ان کان پوءِ سي ٽي اسڪين مان خبر پئي ته ساهه جي نالي ۾ 2 ملي ميٽر وڏو ۽ 5 مليميٽر گھرو سوراخ ٿي ويو آهي.
ان کي ان نوعيت جو دنيا جو پهريون ڪيس قرار ڏنو ويو آهي جنهن ۾ نِڇَ روڪڻ سان ساهه جي نالي ۾ سوراخ ٿي ويو.
ڊاڪٽرن جي خيال ۾ نِڇَ کي روڪڻ سان ساهه جي نالي جي مٿين حصي ۾ معمول کان 20 ڀيرا وڌيڪ دٻاءُ وڌيو جنهن جي ڪري ننڍو سوراخ ٿي ويو.
ان شخص جي سرجري نه ٿي پر 2 ڏينهن کيس گھر وڃڻ جي اجازت ڏني وئي جنهن کان پوءِ 5 ڏينهن اندر اهو زخمي ڀرجي ويو.
ڊاڪٽرن ٻڌايو ته نڪ کي دٻائي نڇِ روڪڻ جي ڪوشش نه ڪرڻ گھرجي ڇو جو ان سان ساهه جي نالي کي نقصان پهچي سگھي ٿو.
ان ڪيس جا تفصيل بي ايم جي ڪيس رپورٽس ۾ ڇپيل آهن.